CHEST TRAUMA
Chest trauma refers to any injury that affects the chest, including the bones, soft tissues, lungs, heart, and major blood vessels. It can result from various causes, such as car accidents, falls, assaults, sports injuries, and penetrating objects like knives or bullets. Chest trauma can cause significant pain, breathing difficulties, and even death.
The severity of chest trauma can vary widely, from minor bruises and rib fractures to life-threatening injuries like punctured lungs and heart damage. Prompt medical attention is crucial to minimize complications and ensure optimal recovery.
Types of Chest Trauma
Chest trauma can affect various structures of the chest, including:
- Bones: The chest wall is composed of ribs and the sternum (breastbone). Fractures to these bones can cause significant pain and breathing difficulties.
- Soft tissues: The soft tissues of the chest, including the muscles and skin, can be bruised, lacerated, or avulsed (torn away) in chest trauma.
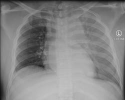
- Lungs: Chest trauma can cause injuries to the lungs, such as:
- Pneumothorax (collapsed lung): This occurs when air leaks into the space between the lung and chest wall, causing the lung to collapse.
- Pneumothorax (collapsed lung): This occurs when air leaks into the space between the lung and chest wall, causing the lung to collapse.
- Heart: Chest trauma can also injure the heart, leading to cardiac tamponade (fluid accumulation around the heart) or myocardial contusion (bruised heart muscle).
- Major blood vessels: Chest trauma can damage the aorta (the largest artery in the body) or other major blood vessels, leading to significant bleeding and shock.
Complications of Chest Trauma
Untreated or poorly treated chest trauma can lead to various complications, including:
-
Respiratory failure: Injuries to the lungs or chest wall can impair breathing and lead to respiratory failure.
-
Shock: Significant blood loss or damage to the heart can lead to shock, a life-threatening condition.
-
Infection: Open chest wounds are susceptible to infection, which can spread to the lungs or other organs.
-
Chronic pain: Rib fractures and other chest injuries can cause chronic pain and discomfort.
-
Psychological distress: Chest trauma can cause significant emotional distress, including anxiety, depression, and post-traumatic stress disorder (PTSD).
Treatment of Chest Trauma
The treatment of chest trauma depends on the severity and type of injury. In general, treatment may involve:
-
Initial stabilization: This involves controlling bleeding, maintaining airway patency, and preventing shock.
-
Chest tube insertion: This may be necessary to drain air or blood from the chest cavity.
-
Pain management: This may involve medications to control pain and improve breathing.
-
Surgical repair: This may be necessary to repair damaged organs or blood vessels.
-
Psychological support: This may involve counseling and therapy to help individuals cope with the emotional and psychological impact of chest trauma.
Prevention of Chest Trauma
While it is not always possible to prevent chest trauma, some measures can help reduce the risk:
-
Wear seatbelts and helmets: This is especially important for motor vehicle occupants and cyclists.
-
Avoid alcohol and drugs: Alcohol and drug use impair judgment and coordination, increasing the risk of accidents and injuries.
-
Practice safe sports: Wear appropriate protective gear and follow safety guidelines for sports activities.
-
Be aware of your surroundings: Pay attention to your surroundings and avoid situations that could lead to violence or injury.
Chest trauma is a serious condition that requires prompt medical attention. By understanding the causes, complications, and treatment options for chest trauma, individuals can take steps to protect themselves and seek appropriate care if injured.
Comments
Post a Comment